安顺首例!安顺市人民医院超声内镜精准穿刺引流术成功治愈10厘米胰腺假性囊肿
2026-01-16 08:14宣传科
近日,安顺市人民医院内镜科在贵州省肿瘤医院消化内科刘哲教授指导下,成功为一名年轻男性患者实施了超声内镜引导下胰腺假性囊肿穿刺引流术。该手术为安顺市首例,此次突破标志着我院在内镜微创治疗胰腺疾病领域迈上新台阶,为本地及周边患者带来更先进、安全、高效的诊疗新选择。
#
1
10厘米巨型囊肿压迫脏器
微创方案破解治疗难题
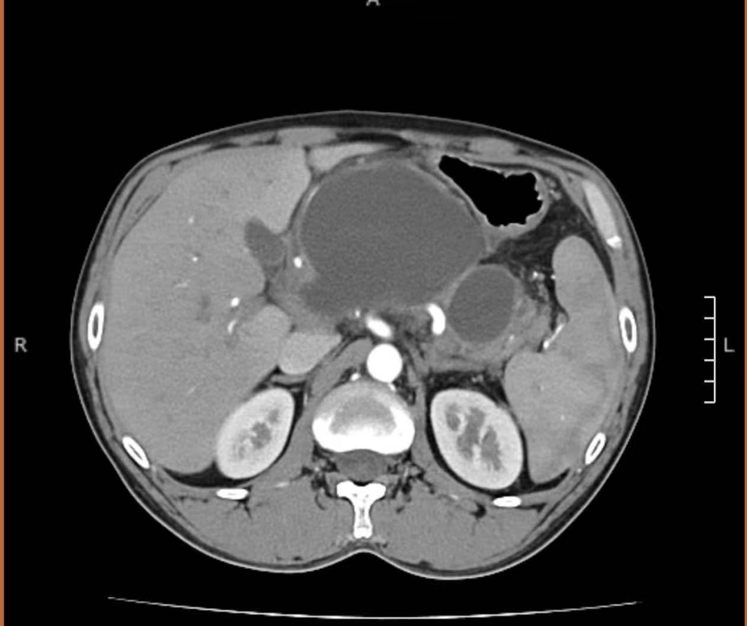
患者为青年男性,因“上腹部持续性胀痛2天”入住我院普外一病区,腹部增强CT检查提示:考虑急性胰腺炎并假性囊肿形成,胰胃间隙存在一直径约10厘米的假性囊肿,已对周围脏器形成明显压迫,引发腹胀不适。如不及时干预,囊肿可能继续增大、引发感染甚至破裂,危及患者健康。
患者术前CT
传统治疗方案以开腹手术或经皮穿刺引流为主,但这类方式创伤大、术后恢复周期长,且易出现感染、出血等并发症。为给患者提供最优治疗方案,我院内镜科团队紧急会诊,并联合贵州省肿瘤医院刘哲教授共同评估病情后,决定采用超声内镜引导下经胃穿刺引流术——这一不开刀、创伤小、恢复快的微创技术,精准契合“微创、高效、安全”的治疗核心目标。
#
2
技术亮点:实时引导+双路引流
精准攻克复杂囊肿
本次手术在刘哲教授指导下完成,刘哲通过超声内镜扫查胰腺:胰胃间隙可见一巨大囊性病变,较大长径约10.1cm,其内可见点片状高回声信号,彩色多普勒显示内部未见明显血流信号,采用一次性囊肿切开刀于胃体上段大弯侧电切电凝后;进入囊肿腔内,引入导丝,通过一次性囊肿切开刀再次扩大切口,抽出淡褐色液体送常规、生化、淀粉酶、肿瘤标记物及培养,经斑马导丝置入10Fr双猪尾支架1根及鼻胆管一根于囊腔内,随后超声评估支架及鼻胆管位于囊腔内,可见囊腔明显缩小,穿刺道未见活动性出血。实现了超声实时引导,安全穿刺,双路引流设计,提升疗效,该术式尤其适合囊肿较大、感染风险高的病例,体现我院在处理复杂性囊肿中的个体化策略能力。
#
3
术后康复:5天顺利出院
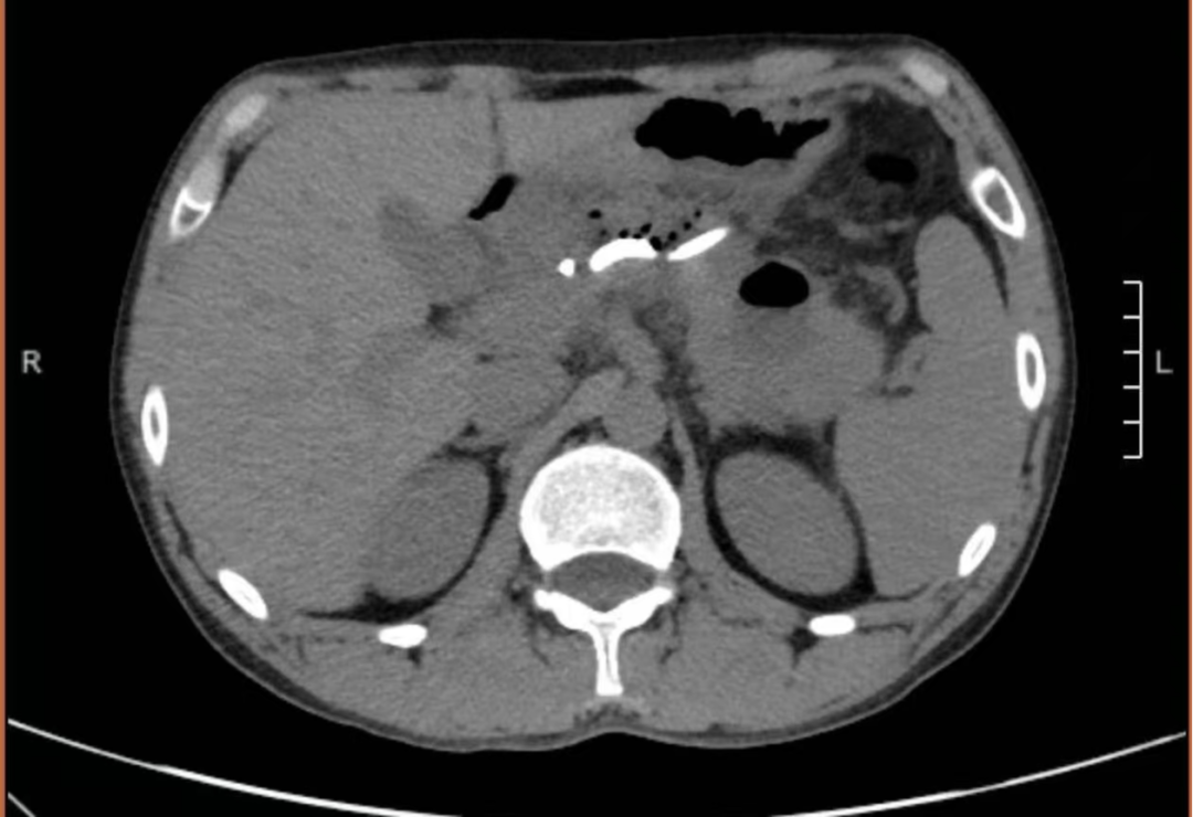
术后患者腹胀、腹痛症状迅速缓解,引流液逐渐清亮。经抗感染与营养支持治疗,患者恢复良好,术后5天顺利康复出院。复查影像显示囊肿基本消失,标志着本次微创治疗取得圆满成功。
患者术后复查CT
#
4
技术协作+学科积淀
助推区域医疗提质升级
作为安顺市首例超声内镜引导下胰腺假性囊肿穿刺引流术,此次成功离不开我院内镜科团队多年来在 ERCP、EUS 等高端内镜技术领域的深耕细作与深厚积淀,更体现了我院与省级专家开展技术协作、共促诊疗水平提升的开放姿态。
科室始终以技术创新为核心,持续引进国际先进诊疗设备,不断拓展内镜诊疗边界,目前已常规开展超声内镜穿刺活检(EUS-FNA)、超声内镜引导下胰腺假性囊肿穿刺引流术等高级别内镜下诊疗操作。
科室将继续坚持“以患者为中心”,以微创化为核心发展方向,持续提升复杂消化疾病的诊治能力,致力于为安顺地区百姓提供更优质、便捷、高效的消化内镜医疗服务。
#
5
[ 知识延伸 ]
胰腺假性囊肿是指胰腺周围或胰腺内部的非上皮组织包裹的液体积聚,属于胰腺囊性病变的一种,常继发于急性胰腺炎后期或慢性胰腺炎。胰腺假性囊肿的发病率较高,如处理不当,会导致感染性胰腺坏死、囊肿内或腹腔或消化道出血、胰瘘、肠瘘等严重并发症。近年来,随着消化内镜、胰腺外科手术、影像介入等诊疗技术的快速发展,尤其超声内镜(EUS)技术的日益更新,为胰腺假性囊肿的治疗方式带来更多选择。
· 创伤小:无腹部切口,体表无疤痕;
· 恢复快:术后疼痛轻,可早期进食及活动;
· 精准安全:实时影像引导,有效保护周围脏器;
· 疗效确切:引流彻底,复发率低,住院时间短。
· 胰腺假性囊肿引起持续症状,如腹痛、腹胀等。
· 胰腺假性囊肿压迫胃肠壁出现胃流出道梗阻、十二指肠梗阻、体重减轻等。
· 胰腺假性囊肿压迫胆总管引起发热、黄疸。
· 胰腺假性囊肿体积迅速增大。
· 胰腺假性囊肿并发感染、出血。
[ END ]
供稿|内镜科
编审|肖 也
二审|张昌林、杨蔚蓝
三审|汪 平


